Temple Health cardiovascular surgeons describe a differentiated surgical approach to coronary revascularization with implications for patients with pulmonary hypertension and right ventricular failure
Cardiovascular surgeons at Temple Health have published new findings detailing a distinct coronary artery bypass grafting (CABG) technique that is associated with improved right ventricular (RV) function following surgery—an important consideration for patients with pulmonary hypertension and preexisting RV dysfunction.
The study, published in Annals of Thoracic Surgery Short Reports, led by Yoshiya Toyoda, MD, PhD, reflects a collaborative effort among Temple Health Cardiovascular Surgery faculty, including Hiromu Kehara, MD, PhD, Suyog Mokashi, MD, MBA, Ravishankar Raman, MD, FRCS, FRCSC, Roh Yanagida, MD, PhD, FACS, and Kewal Krishan, MD. Unlike conventional CABG strategies, this technique is specifically designed to minimize adverse effects on right ventricular performance, which is a known driver of postoperative morbidity in high-risk populations.
A CABG Technique Designed With RV Physiology in Mind
Traditional CABG approaches may place additional stress on the right ventricle, particularly in patients with elevated pulmonary pressures or marginal RV reserve. In these patients, postoperative RV dysfunction can complicate recovery and limit overall clinical benefit from revascularization, which has been recognized recently.
The Temple Cardiovascular Surgery Program’s technique represents a deliberate departure from standard CABG practices, with operative decisions guided by the goal of preserving RV geometry and function, which we expect contributes to better long-term survival. This technique seeks to reduce RV strain during and after revascularization—an element not typically prioritized in conventional CABG.
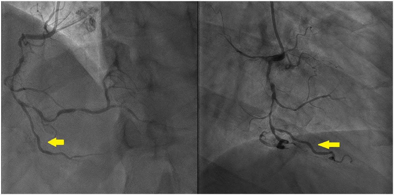
Different angle of the images of the right coronary artery angiogram shows diffuse significant stenosis across acute marginal branch (yellow arrow).
Clinical Impact in Patients with Pulmonary Hypertension and RV Failure
In the published study, patients undergoing this CABG technique demonstrated improved postoperative right ventricular function, supporting the hypothesis that surgical strategy can directly influence RV outcomes.
These findings are particularly relevant for patients with:
- Pulmonary hypertension
- Preexisting right ventricular dysfunction
- Complex coronary artery disease requiring surgical revascularization
For cardiologists managing patients with coronary artery disease and lung disease such as pulmonary fibrosis and COPD, concerns about perioperative RV failure often complicate referral decisions. The results of this study suggest that surgical technique selection may mitigate some of this risk, potentially expanding revascularization options for patients previously considered poor surgical candidates.
Advancing Collaborative Care for Complex Cardiac Patients
This work reflects Temple Health Cardiovascular Surgery’s emphasis on physiology-driven surgical innovation and close collaboration with referring cardiologists across subspecialties, including heart failure, pulmonary hypertension, and complex coronary disease.
By integrating advanced surgical techniques with multidisciplinary preoperative assessment, the program continues to refine care pathways for patients with advanced cardiopulmonary disease.
Read the full abstract.

